痛风三个发展时期的症状
有疑问可点击在线客服
官方电话:028-86117707
痛风三个发展时期的症状,痛风属于比较严重的一种疾病,患者一旦发现症状,一定要及时治疗,否则极有可能造成严重的后果,下面和成都治疗痛风专科医院的医生一起来了解一下痛风的症状。

痛风三个发展时期的症状
一般,常见的痛风的症状有:
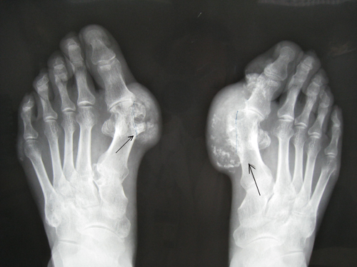
1、急性发作期:痛风在急性发作期会累及全身各个关节,使之红肿、疼痛。发作时间通常是下半夜。该阶段痛风的症状表现为脚踝关节或脚指,手臂、手指关节处疼痛、肿胀、发红,伴有剧烈疼痛。使用显微镜观察,会发现患处组织内有松针状尿酸盐沉淀。就是尿酸盐沉淀引起的剧烈疼痛。请注意,发病期的血尿酸由于已经生成沉淀,所以尿酸值比平时好的值低。>>看完文章还不知道自己是否患了痛风?请点击免费咨询医生
2、间歇期:此阶段的痛风表现主要在尿液上有所体现,血尿酸浓度比其他时期要高出很多。所谓的间歇期是指痛风两次发病的间隔期,一般为几个月至一年。如果没有采用降尿酸的方法,发作会频繁,痛感加重,病程延长。
3、慢性期:这个阶段的痛风主要的外在症状体现以慢性关节炎为主,还伴有各种并发症。存在痛风石,慢性关节炎、尿酸结石和痛风性肾炎及并发症。此时痛风频繁发作,身体部位开始出现痛风石,随着时间的延长痛风石逐步变大。相关推荐:老年痛风患者的健康护理
痛风三个发展时期的症状,通过以上医生的介绍,相信大家对于痛风应该有了一定的了解了吧,希望对患者朋友能有所帮助。若您对痛风方面还有什么不了解的地方可在线咨询医生,他们会为您提供更多资讯,较后祝愿广大患者早日恢复健康。
文章部分文字、图片、数据、视频等内容信息来源于互联网,版权归原作者所有,如有侵权请立即联系删除。





关节炎症
骨关节痛
腰椎颈椎
医院资讯